關閉

根管治療後,以假牙保護

X小姐因嚴重蛀牙,時不時感到牙齒隱隱作痛,而牙齒表面也因為這樣看起來不健康也不美觀。
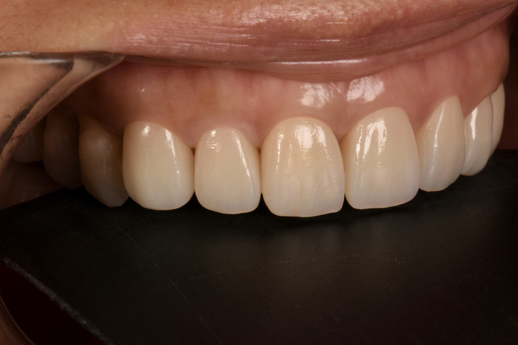
經過陳醫師細心的臨床診斷後,先進行了『根管治療』,再製作了『玻璃纖維牙柱心』和
3M Lava全瓷冠』以得到最大強度的修復,3M Lava全瓷冠,細心修復每顆牙齒的結構性和密合度外,更大幅改善了前牙美觀問題,提升病患個人於社交上乾淨健康的牙齒形象。

晶楷牙醫診所,幫助您自信回歸社交生活,重拾最自然最完美的自己!

 

治療前

案例一
 
案例一
 
案例一

治療後

案例一
 
案例一
案例一
 
案例一
 

以上病例由陳見文醫師提供