專業竹北齒顎矯正
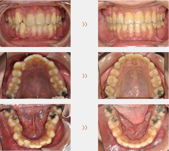
許多人都有齒列不正的困擾,齒列不正除了影響美觀,導致人際交流的障礙與自信心的受挫以外,不整齊的牙齒更容易因為不易清潔,導致蛀牙及牙周病的產生,齒列不正也經常伴隨著咬合不整,因此影響到咀嚼功能造成消化吸收不良。除此之外,更有影響說話發音、臉型,甚至是顎關節問題等諸多困擾。
晶楷牙醫為竹北地區有齒顎矯正需求的民眾,規劃適合您的竹北齒顎矯正療程,我們有專業的設備、舒適的環境及先進的技術,晶楷醫療團隊的林昇進醫師更是竹北齒顎矯正的翹楚,我們以嚴謹的態度與同理心,協助您擺脫齒列不正帶來的麻煩。有竹北齒顎矯正需求,歡迎到晶楷牙醫評估與治療。







