關閉

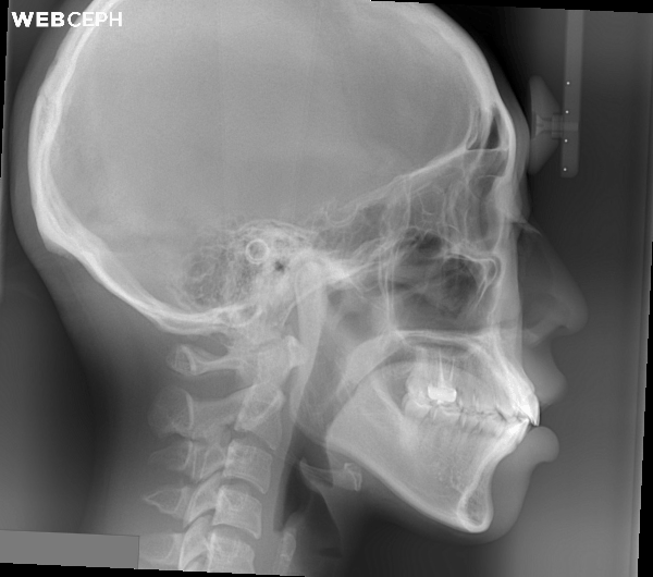
拔牙合併骨釘全齒列上壓

很多人牙齒不亂但是嘴唇無法閉合,除了暴牙之外也有時伴隨著上下齒列過度萌發,垂直高度過多,此時必需同時後退前牙也必須上壓齒列 而這個多半需要做精準的骨釘力學控制,才能完全將嘴唇閉合達到一個自然的側面外觀~

讓我們來一起來欣賞郭小姐接近整形的矯正效果,也一起分享她拆掉矯正器的喜悅吧!

改善骨爆/笑齦/無法閉唇

改善骨爆/笑齦/無法閉唇

改善骨爆/笑齦/無法閉唇

改善骨爆/笑齦/無法閉唇

改善骨爆/笑齦/無法閉唇

改善骨爆/笑齦/無法閉唇


-以上案例由林昇進醫師提供