今天來分享一個藉由簡單快速的矯正過程來改善混合齒列時期的前牙錯咬
 陽光可愛的呂小弟,在媽媽陪伴下來咨詢矯正
 通常我都會問一下小朋友的意見,因為願意配合治療的小朋友才能達到治療中矯正裝置的良好清潔和效果
 弟弟也想要把牙齒排列整齊

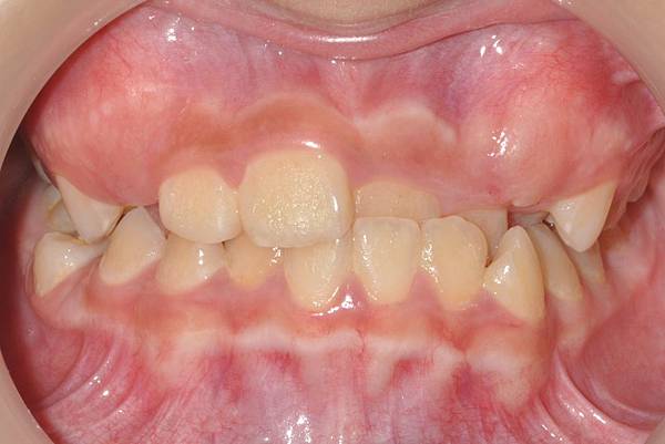
可以看到笑的時候,明顯左側門牙被下排牙齒擋住
 口內狀況有前牙的錯咬,判斷為咬合干擾所導致的功能性錯咬
這類的錯咬成因和下顎較多生長所形成的錯咬不同
 主要是來自於換牙期間咬合位置不穩定所造成,治療的結果也比較好
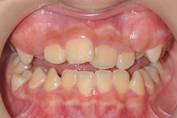
 於是我們的治療目標便是改善錯咬,提供呂小弟一個較穩定的下顎位置

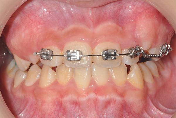
在短短三個多月
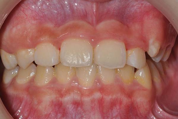
 便順利的改善呂小弟的錯咬問題, 笑起來也更燦爛了

然而這種錯咬改正後,如果下顎位置沒有再過度的生長
 通常跨欄過去的牙齒不會自己在跳回來,所以不需要刻意的戴維持器
 剩下的排列 就等換完牙再看看需不需要第二階段的矯正囉!
 各位親愛的家長們,在混合齒列的時期,除了定期追蹤牙齒健康 換牙狀況之外,
 也可以向您的矯正醫師詢問是否有早期治療的需求!
  
-以上案例由林昇進醫師提供

