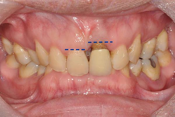
黃先生,因為門牙假牙牙齦萎縮金屬邊緣露出希望重新製作假牙。
![極度深咬合併前牙角度內傾改善案例 極度深咬合併前牙角度內傾改善案例]()
![極度深咬合併前牙角度內傾改善案例 極度深咬合併前牙角度內傾改善案例]()
![極度深咬合併前牙角度內傾改善案例 極度深咬合併前牙角度內傾改善案例]()
![極度深咬合併前牙角度內傾改善案例 極度深咬合併前牙角度內傾改善案例]()
![極度深咬合併前牙角度內傾改善案例 極度深咬合併前牙角度內傾改善案例]()
來看看治療完的變化吧!![極度深咬合併前牙角度內傾改善案例 極度深咬合併前牙角度內傾改善案例]()
![極度深咬合併前牙角度內傾改善案例 極度深咬合併前牙角度內傾改善案例]()
![極度深咬合併前牙角度內傾改善案例 極度深咬合併前牙角度內傾改善案例]()
![極度深咬合併前牙角度內傾改善案例 極度深咬合併前牙角度內傾改善案例]()
![極度深咬合併前牙角度內傾改善案例 極度深咬合併前牙角度內傾改善案例]()
![極度深咬合併前牙角度內傾改善案例 極度深咬合併前牙角度內傾改善案例]()
![極度深咬合併前牙角度內傾改善案例 極度深咬合併前牙角度內傾改善案例]()
![極度深咬合併前牙角度內傾改善案例 極度深咬合併前牙角度內傾改善案例]()
![極度深咬合併前牙角度內傾改善案例 極度深咬合併前牙角度內傾改善案例]()
![極度深咬合併前牙角度內傾改善案例 極度深咬合併前牙角度內傾改善案例]()
![極度深咬合併前牙角度內傾改善案例 極度深咬合併前牙角度內傾改善案例]()
![極度深咬合併前牙角度內傾改善案例 極度深咬合併前牙角度內傾改善案例]()
-以上案例由林昇進醫師提供

假牙醫師發現黃先生有極度的深咬, 下顎前牙咬在上顎前牙的牙肉上,
無法在這個狀況下製作假牙,轉診林醫師做矯正評估。


因為黃先生小時候便拔除了四顆小臼齒,使得深咬變得更不容易改正!
而深咬造成前牙施力位置不當,長年下產生對前牙嚴重的牙周影響。

黃先生的前牙角度也十分內倒,影響微笑時的美觀。
此案例因為十分困難,林醫師建議使用微骨釘進行前牙下壓。

來看看治療完的變化吧!
治療前/治療後





前牙內傾角度大幅改善。


製作假牙前,林醫師也利用矯正方式把左上正中門牙往下拉
建立對稱的牙肉高度。





-以上案例由林昇進醫師提供

