關閉

不拔牙利用微骨釘改善齒列擁擠&不對稱咬合

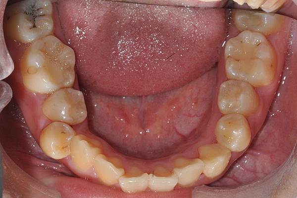
曾小妹,因為右側側門牙錯咬
改善齒列擁擠&不對稱咬合

笑的時候看起來好像少一顆牙齒
改善齒列擁擠&不對稱咬合

因為曾小妹的五官立體,所以這個案例我們決定不拔牙

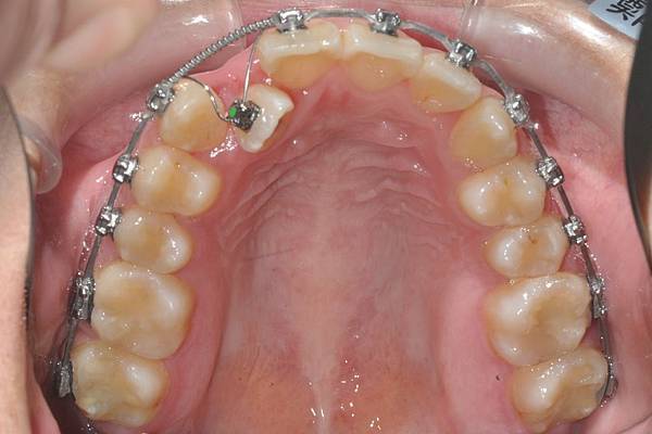
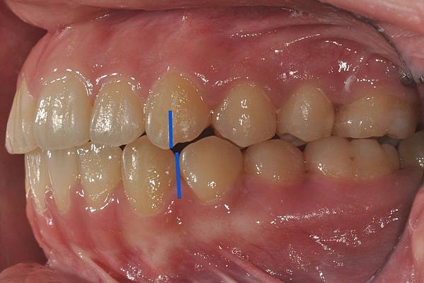
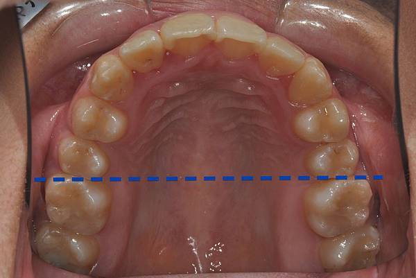
利用迷你骨釘做全齒列後退
改善齒列擁擠&不對稱咬合

改善齒列擁擠&不對稱咬合

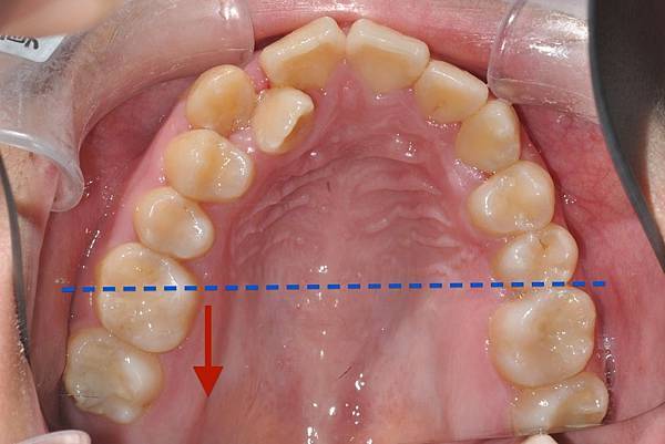
不拔牙提供空間排列牙齒並改善不對稱咬合~

改善齒列擁擠&不對稱咬合

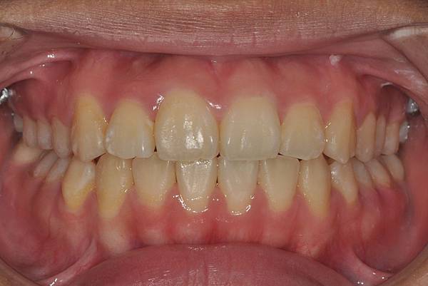
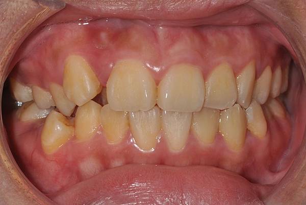
花了不到一年半, 我們完成矯正治療~曾小妹可以笑得更燦爛囉!!

治療前 / 治療後

 

改善齒列擁擠&不對稱咬合
 
改善齒列擁擠&不對稱咬合
 
改善齒列擁擠&不對稱咬合
 
改善齒列擁擠&不對稱咬合
 
改善齒列擁擠&不對稱咬合
 
改善齒列擁擠&不對稱咬合
 
改善齒列擁擠&不對稱咬合
 
改善齒列擁擠&不對稱咬合
 
改善齒列擁擠&不對稱咬合
 
改善齒列擁擠&不對稱咬合
 
改善齒列擁擠&不對稱咬合
 
改善齒列擁擠&不對稱咬合
 
改善齒列擁擠&不對稱咬合
 
改善齒列擁擠&不對稱咬合
 
-以上案例由林昇進醫師提供