關閉

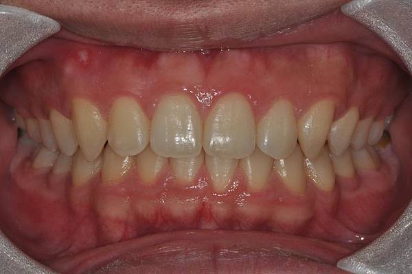
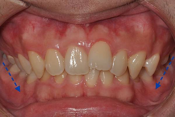
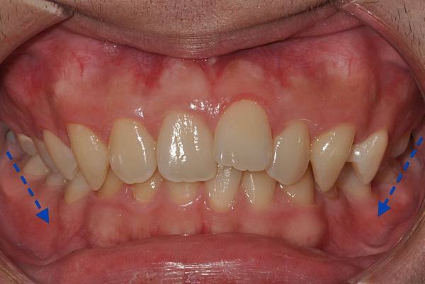
微笑時除了牙齒排列整齊之外,牙弓的弧度調整也能讓笑起來看到後牙的比例改善,使得笑容更為燦爛。

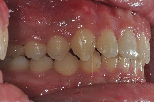
張小帥弟希望改善單顆門牙不整齊,讓笑容更加分。
利用牙弓擴張改善微笑弧度

利用牙弓擴張改善微笑弧度


 

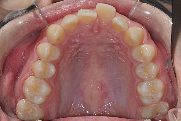
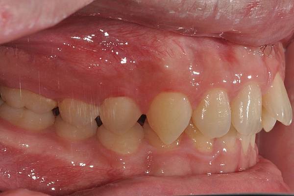
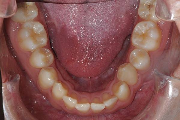
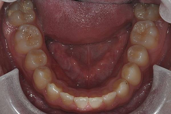
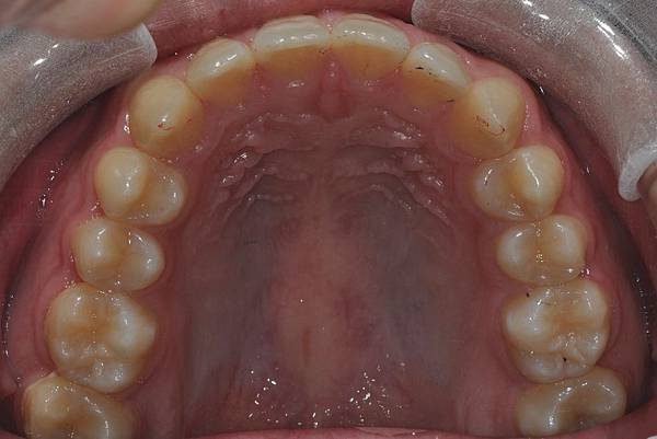
林醫師建議利用全口矯正除了將牙齒排列整齊外,利用牙弓擴張改善虎牙及小臼齒內倒,
也改善深咬的狀況。
利用牙弓擴張改善微笑弧度

讓我們看一下 治療前後的變化吧!


 

治療前/治療後

利用牙弓擴張改善微笑弧度
 
利用牙弓擴張改善微笑弧度
 
利用牙弓擴張改善微笑弧度
 
利用牙弓擴張改善微笑弧度
 
利用牙弓擴張改善微笑弧度
 
利用牙弓擴張改善微笑弧度
 
利用牙弓擴張改善微笑弧度
 
利用牙弓擴張改善微笑弧度
 
利用牙弓擴張改善微笑弧度
 
利用牙弓擴張改善微笑弧度
 
利用牙弓擴張改善微笑弧度
 
利用牙弓擴張改善微笑弧度
 
利用牙弓擴張改善微笑弧度
 
利用牙弓擴張改善微笑弧度
 
-以上案例由林昇進醫師提供