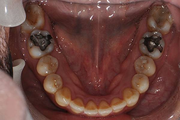
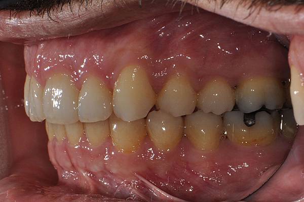
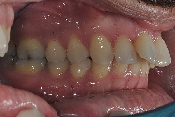
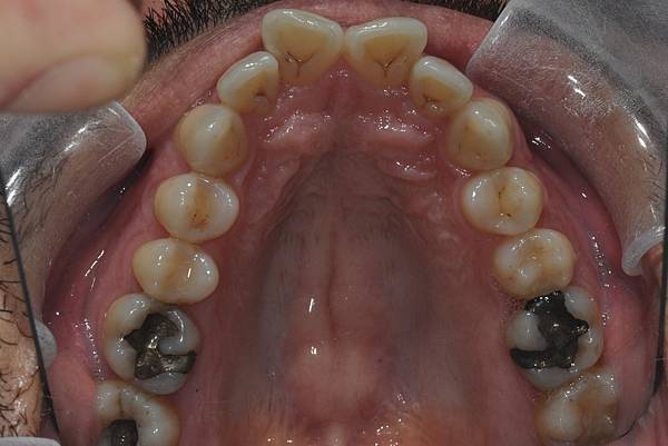
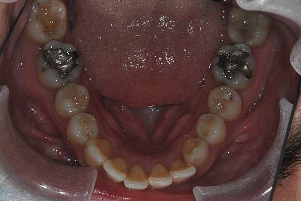
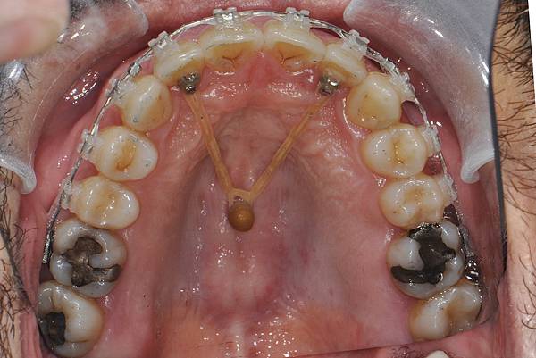
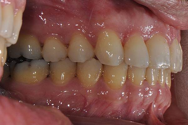
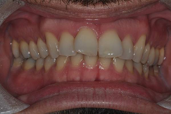
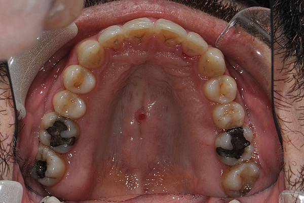
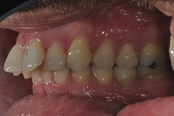
台灣的牙科醫療品質, 連外國人都說讚!此案例為深咬合併二級咬合 林醫師藉由正中上顎骨釘(HPPG technique)做上顎全齒列後移改善暴牙 讓本來五官就相當立體的艾先生,笑起來更燦爛了! 治療前/治療後-以上案例由林昇進醫師提供 分享到