關於晶楷
診療項目
人工植牙
牙周治療
前牙美學
根管顯微
齒顎矯正
兒童牙科
一般牙科
舒眠牙醫
牙齒美白
醫療團隊
文章新知
醫師文章分享
學術講座
口腔衛教
案例分享
齒顎矯正
贋復假牙
前牙美學
陶瓷嵌體:3D齒雕
最新消息
門診時間
聯絡我們
關於晶楷
診療項目
+
–
人工植牙
牙周治療
前牙美學
根管顯微
齒顎矯正
兒童牙科
一般牙科
舒眠牙醫
牙齒美白
醫療團隊
文章新知
+
–
醫師文章分享
學術講座
口腔衛教
案例分享
+
–
齒顎矯正
贋復假牙
前牙美學
陶瓷嵌體:3D齒雕
最新消息
門診時間
聯絡我們
關閉
戽斗下唇突出改善案例
首頁
/
案例分享
/
齒顎矯正
/
戽斗下唇突出改善案例
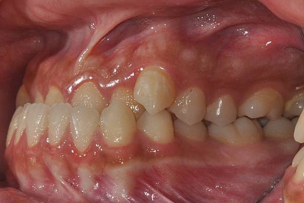
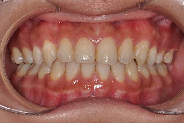
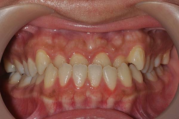
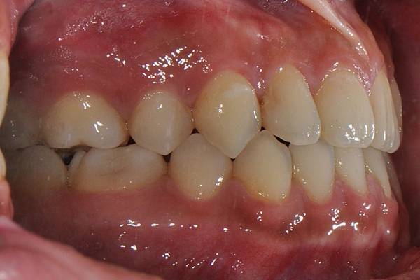
本案例因為考量到患者下唇突出
便建議拔除上下四顆小臼齒將
下唇內收
也改善了
前牙錯咬
的問題~
治療前/治療後
-以上案例由林昇進醫師提供
分享到