關於晶楷
診療項目
人工植牙
牙周治療
前牙美學
根管顯微
齒顎矯正
兒童牙科
一般牙科
舒眠牙醫
牙齒美白
醫療團隊
文章新知
醫師文章分享
學術講座
口腔衛教
案例分享
齒顎矯正
贋復假牙
前牙美學
陶瓷嵌體:3D齒雕
最新消息
門診時間
聯絡我們
關於晶楷
診療項目
+
–
人工植牙
牙周治療
前牙美學
根管顯微
齒顎矯正
兒童牙科
一般牙科
舒眠牙醫
牙齒美白
醫療團隊
文章新知
+
–
醫師文章分享
學術講座
口腔衛教
案例分享
+
–
齒顎矯正
贋復假牙
前牙美學
陶瓷嵌體:3D齒雕
最新消息
門診時間
聯絡我們
關閉
改善高位虎牙
首頁
/
案例分享
/
齒顎矯正
/
改善高位虎牙
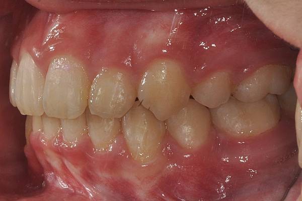
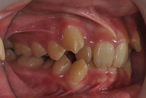
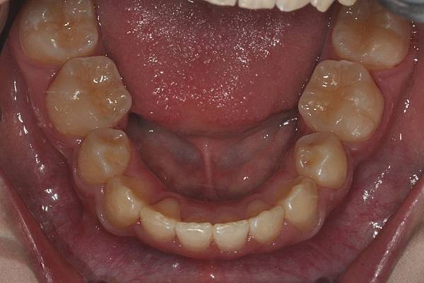
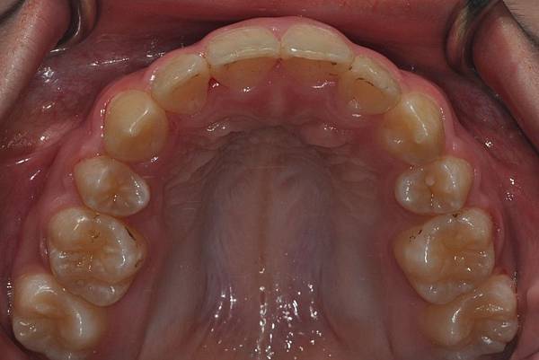
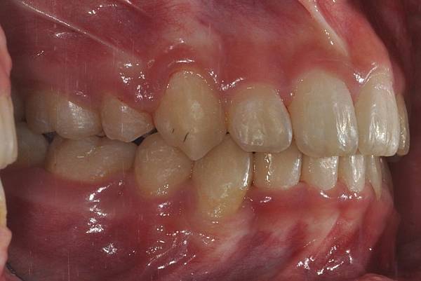
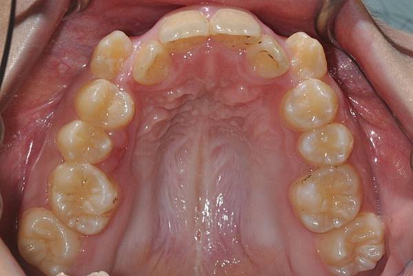
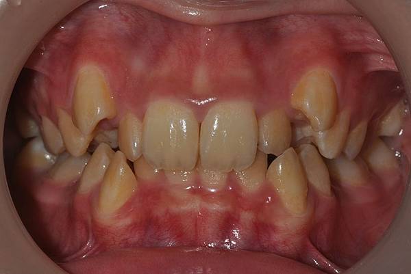
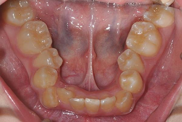
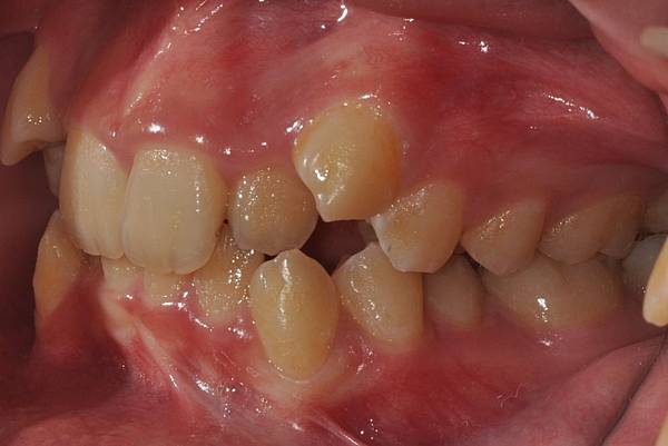
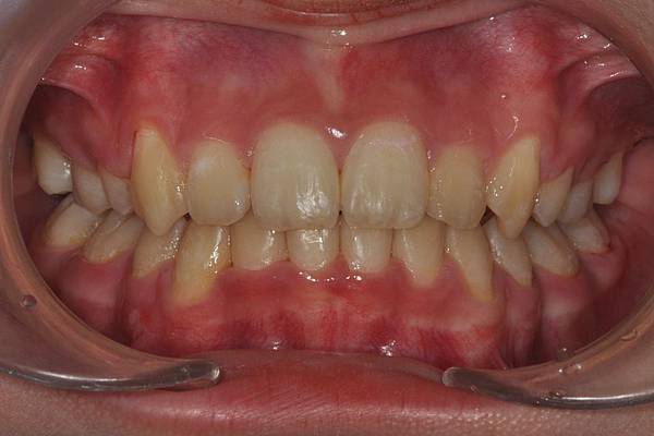
拔牙改善高位虎牙
虎牙妹的女神蛻變之旅~
此案例因為空間不足排列牙齒,
考量到不拔牙將使得牙齒前凸破壞患者原本和諧的側臉。
故上下左右各拔一小臼齒。
治療前/治療後
-以上案例由林昇進醫師提供
分享到