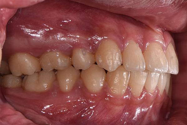
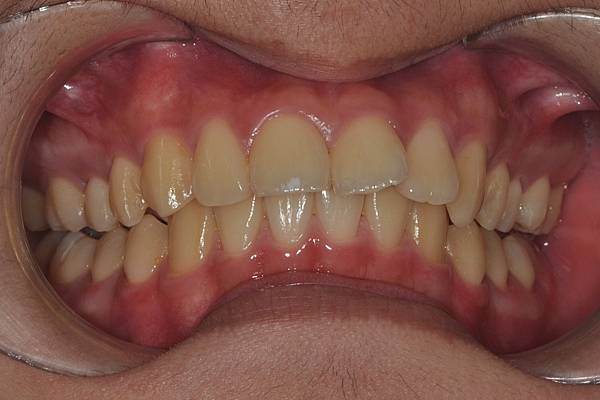
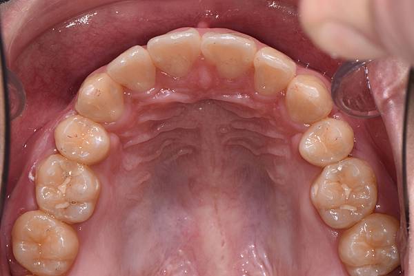
上顎單顎拔牙(single arch extraction)改善暴牙在上下齒列距離落差比較大的時候,有時候會採取上顎單顎拔牙(upper single arch extraction),來快速改善暴牙及達到理想前牙咬合~這個做法就算上顎少兩顆小臼齒,完成後每顆牙齒還是都有咬合的喔~來看看張小弟帥氣的笑容改造吧!治療前/治療後 -以上案例由林昇進醫師提供 分享到