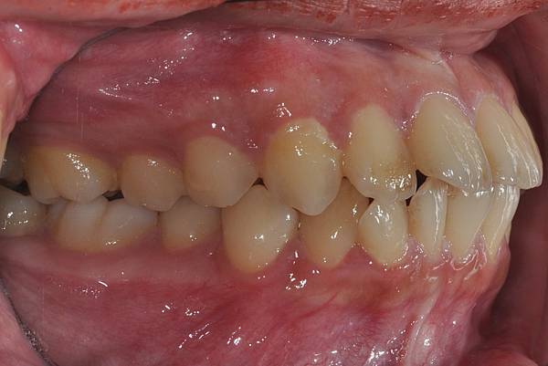
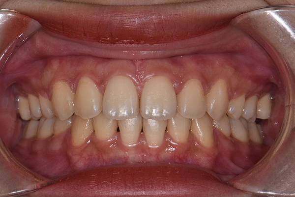
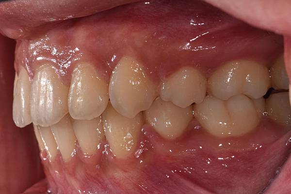
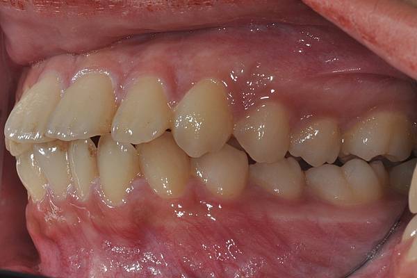
別讓不拔牙限制了你的想像!您追求的矯正治療結果 ,除了牙齒整齊之外,是否有其他可能性?別為了堅持不拔牙限制了你的想像:)讓我們來欣賞這個美麗的蛻變成果!治療前/治療後 -以上案例由林昇進醫師提供 分享到